Orthodontic Exposure in Brooklyn, NY
ORTHODONTIC EXPOSURE / IMPACTED TEETH
An impacted tooth means that it cannot erupt into function. Patients frequently develop problems with impacted third molars (wisdom teeth). These teeth can get “stuck” in the back of the jaw and develop painful infections, among other problems. Since there is rarely a functional need for wisdom teeth, they are usually extracted if they develop issues. The maxillary canine is the second-most-common tooth to become impacted. The canine tooth is a critical tooth and plays an important role in your “bite”. They are designed to be the first teeth that touch when your jaws close together, so they guide the rest of the teeth into the proper bite.
Normally, the maxillary canine teeth are the last of the “front” teeth to erupt into place. They usually come into place around age 13 and cause any space left between the upper front teeth to close together. If a canine tooth becomes impacted, every effort is made to help it erupt into its proper position. The techniques used to aid eruption can be applied to any impacted tooth in the upper or lower jaw, but they are most commonly used on maxillary canine teeth.
EARLY RECOGNITION IS KEY TO SUCCESSFUL TREATMENT
The older the patient, the more likely an impacted canine will not erupt spontaneously, even if the space is available for the tooth to fit in the dental arch. A panoramic x-ray or cone beam CT, along with a dental examination, will help determine whether all adult teeth are present or whether some are missing.
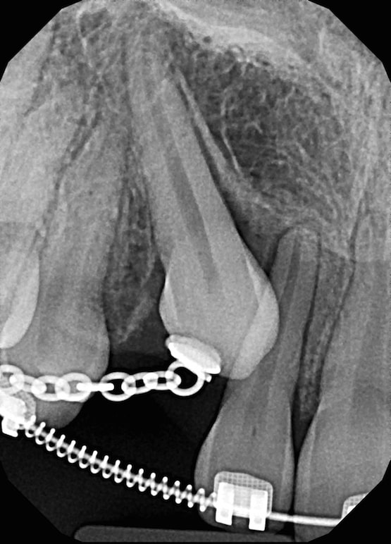
When the canine will not erupt spontaneously, the orthodontist and oral surgeon will work together to help it erupt. Each case must be evaluated on an individual basis, but treatment will usually involve a combined effort between the orthodontist and the oral surgeon. The oral surgeon will expose and bracket the impacted canine.
The goal is to erupt the impacted tooth and not to extract it. Once the tooth has moved into its final position, the gum around it will be evaluated. In some circumstances, there may be some minor “gum surgery” required.

